MSK Ultrasound Procedures


Baker's Cyst Aspiration




Equipment and Medications

  • probe: 14Mhz or 9Mhz depending on patient body habitus
  • 18g spinal needle
  • 1.5” 25g needle
  • 10cc syringe empty
  • 5cc syringe with 1% lidocaine
  • 3cc syringe with 1cc injectable steroid (kenalog 40mg/cc) + 1cc lidocaine 1% + 1cc ropivacaine 0.5%
  • Procedure Tray

  • Equipment

    Medications



    Procedure Instructions:


    Instructions
    1. Standard pre-procedure workup (obtain consent, check indications and contraindications, check allergies). Review any relevant imaging
    2. Position patient prone. Picture of probe on patient when prone
    3. Pre-procedure images to identify optimal path. Ideally, place probe in transverse plane.
    • descriptiondescription
    4. Mark needle site and ideal probe location.  
    5.  Prep patient; betadine or chlorhexidine x 3. Clear wide area.  
    6. Place sterile drape.  
    7. Draw up medications as listed in equipment list.  
    8. Place a wheal underneath the skin using a 25g needle with the 1% lidocaine at the site marked for the needle. With ultrasound guidance place the 1% lidocaine deeper within the subcutaneous tissues, taking care not to breach the Baker's cyst.  
    9. Once numb, exchange the 25g needle for an 18g needle.
    • descriptiondescription
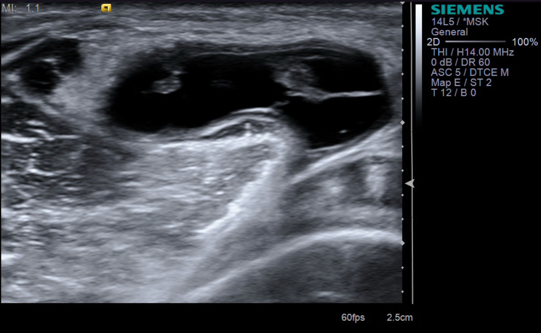
    10. With ultrasound guidance, advance the 18g needle into the Baker's cyst.
    • descriptiondescription
    11. Place the 10cc syringe on the end of the 18g needle.  
    12. While watching under ultrasound, aspirate almost the entirety of the Baker's cyst. Often the fluid is thick and gelatinous. Therefore, spinning the needle or bobbing it back and forth may help aspirate the majority of the fluid.
    • descriptiondescription
    13. Exchange the 10cc syringe containing the aspirated fluid, with the 3cc syringe containing the steroid/anesthetic concoction listed in step 7. Inject the 3cc's into the cyst cavity.
    • descriptiondescription
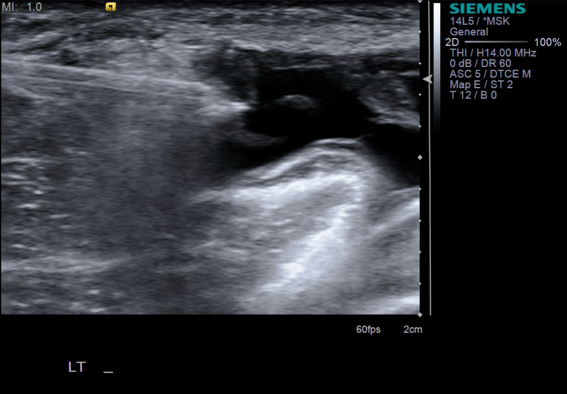
    14. Take sonographic images documenting the reduction in size of the Baker's cyst.
    description
    Aspirated cyst fluid
    15. Follow standard post-procedure protocol with cleaning off the skin and placing a bandage.

     

     


    References

    1. Zwar, Read, and Noakes. "Sonographically Guided Glenohumeral Joint Injection." AJR July 2004 vol. 183 no. 148-150.