MSK Ultrasound Procedures


Iliopsoas Tendon Sheath Injection




Equipment and Medications

  • Probe: 6Mhz Curved
  • 25g 1.5" needle
  • 22g 3.5" needle
  • 2cc injectable steroid (kenalog 40mg/cc) + 3cc ropivacaine 0.5% in 5 cc syringe
  • Procedure tray
  • Equipment

    Medications



    Procedure Instructions:
    Instructions
    1. Standard pre procedure workup (consent, indications, contraindications, allergies).  
    2.Position patient supine.
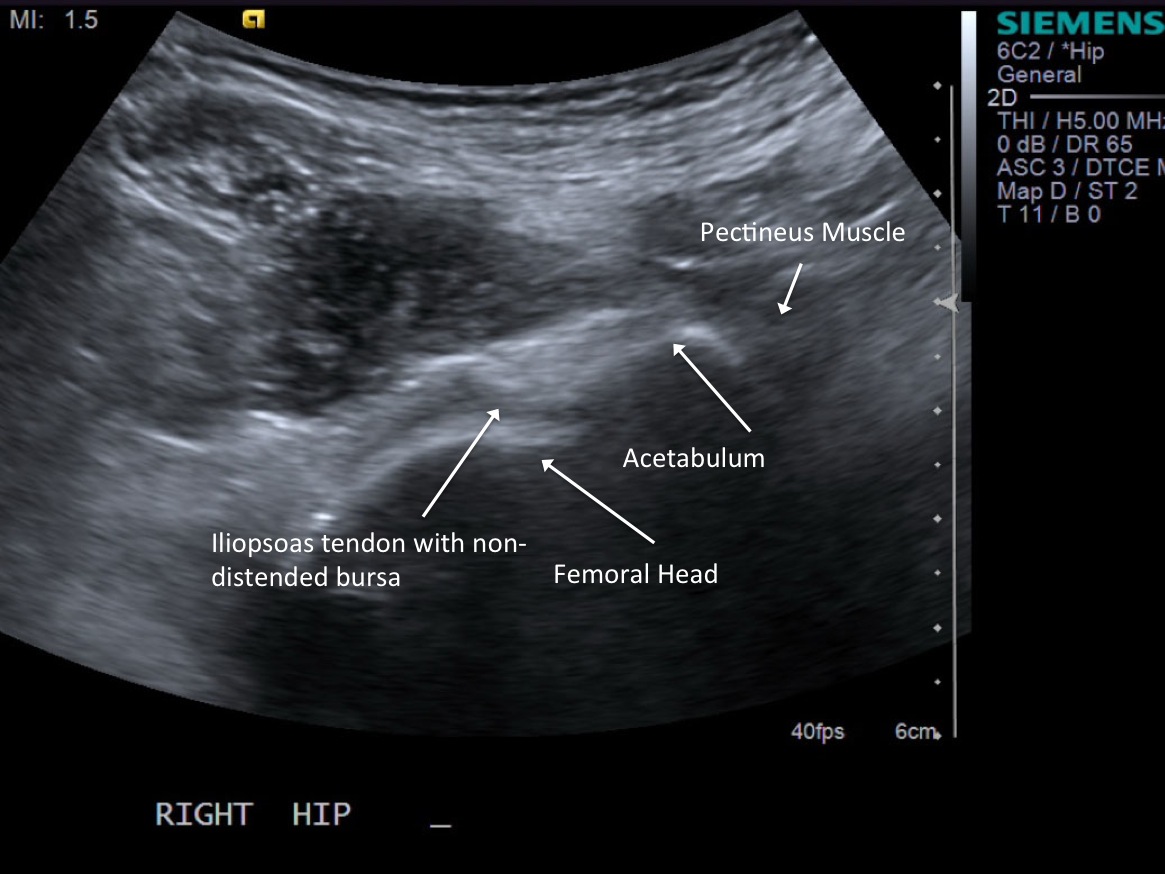
    3.Scan transverse. The iliopsoas tendon inserts on the lesser trochanter. If there’s an iliopsoas bursa filled with fluid, can aspirate/inject that fluid or do a peritendinous injection for tendinosis. Approach laterally.
    • descriptiondescription
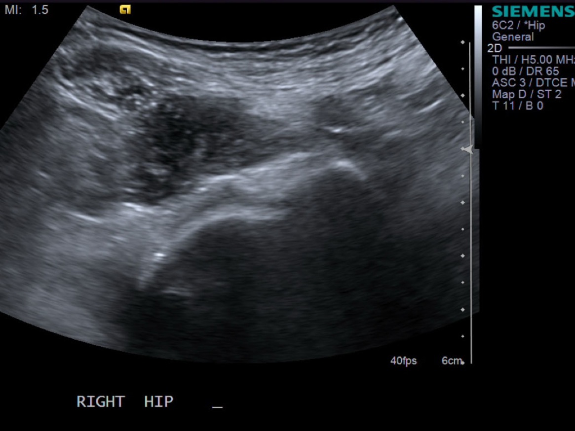
    Transverse/short axis view of iliopsoas tendon
    4. Mark probe location and probable injection site.  
    5.  Prep patient; betadine or chlorhexidine x 3. Clear wide area.  
    6. Place sterile drape and probe cover.  
    7. Place sterile ultrasound probe on skin and find site of injection again and inject 1% lidocaine superficially with 1.5" 25g needle.  
    8. Exchange 25g needle for 22g spinal needle.
    9.Advance needle with ultrasound guidance from lateral to the adjacent to the liopsoas tendon (deep to the femoral vessels and superficial to the capsule).
    • descriptiondescription
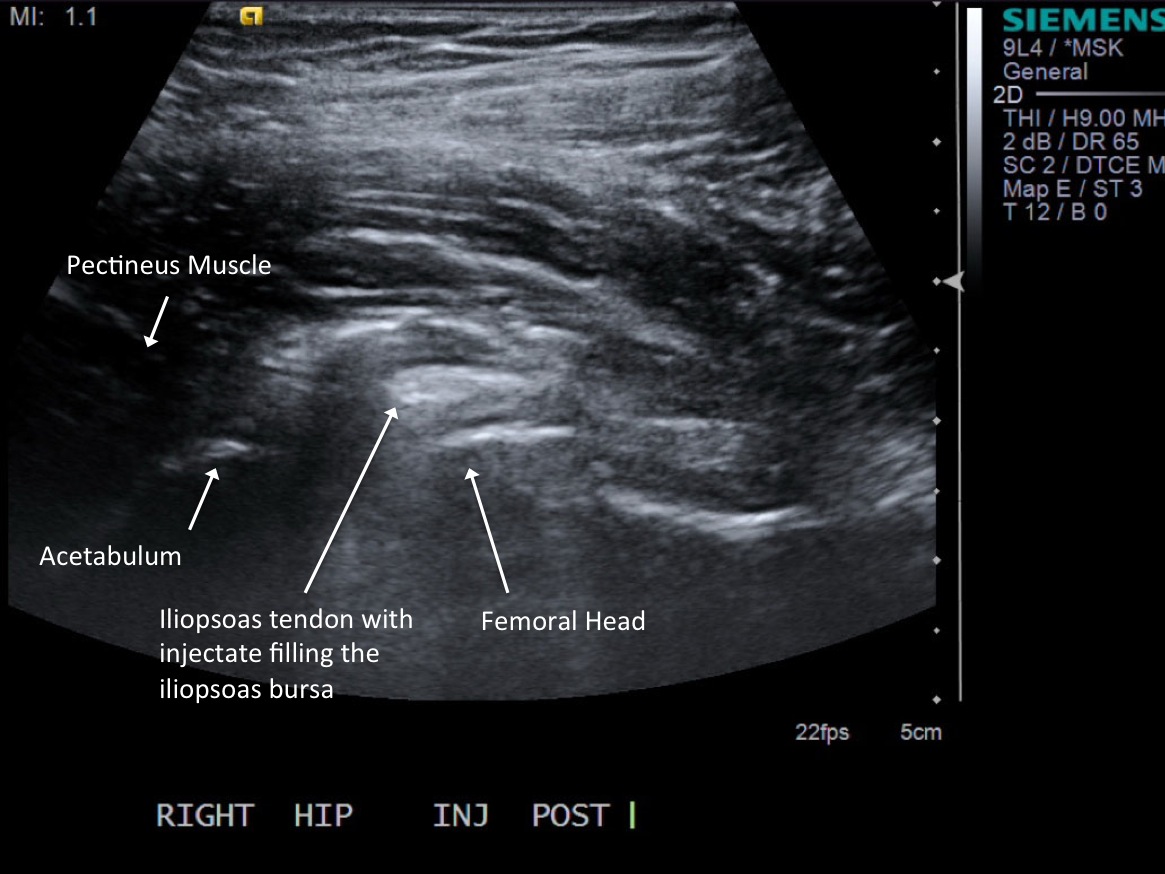
    10. Test inject to see if easy flow with 1% lidocaine. If no resistance and see distention of the tendon sheath, exchange for 5cc syringe with injectable steroid and ropivacaine.
    11.Pull needle out, wash skin with alcohol and place bandage on skin.
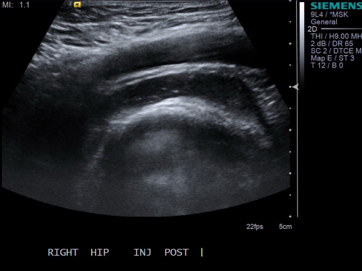
    12. Scan joint to demonstrate distention. Can try to flex hip to see if fluid distended.
    • descriptiondescription
    • descriptiondescription
    13. Ask level of pain on scale of 1-10 to see if improved.

     


    References

    1. Placeholder
    2. Placeholder