MSK Ultrasound Procedures


Bicep's Tendon Sheath Injection




Equipment and Medications

  • probe: 14Mhz Linear
  • 25g 1.5” needle
  • 5cc 1% lidocaine
  • 1cc injectable steroid (kenalog 40mg/cc) + 1cc ropivacaine 0.5% in 3 cc syringe
  • Procedure tray
  • Equipment

    Medications



    Procedure Instructions:
    Instructions
    1. Standard pre procedure workup (consent, indications, contraindications, allergies, document pain level if any)  
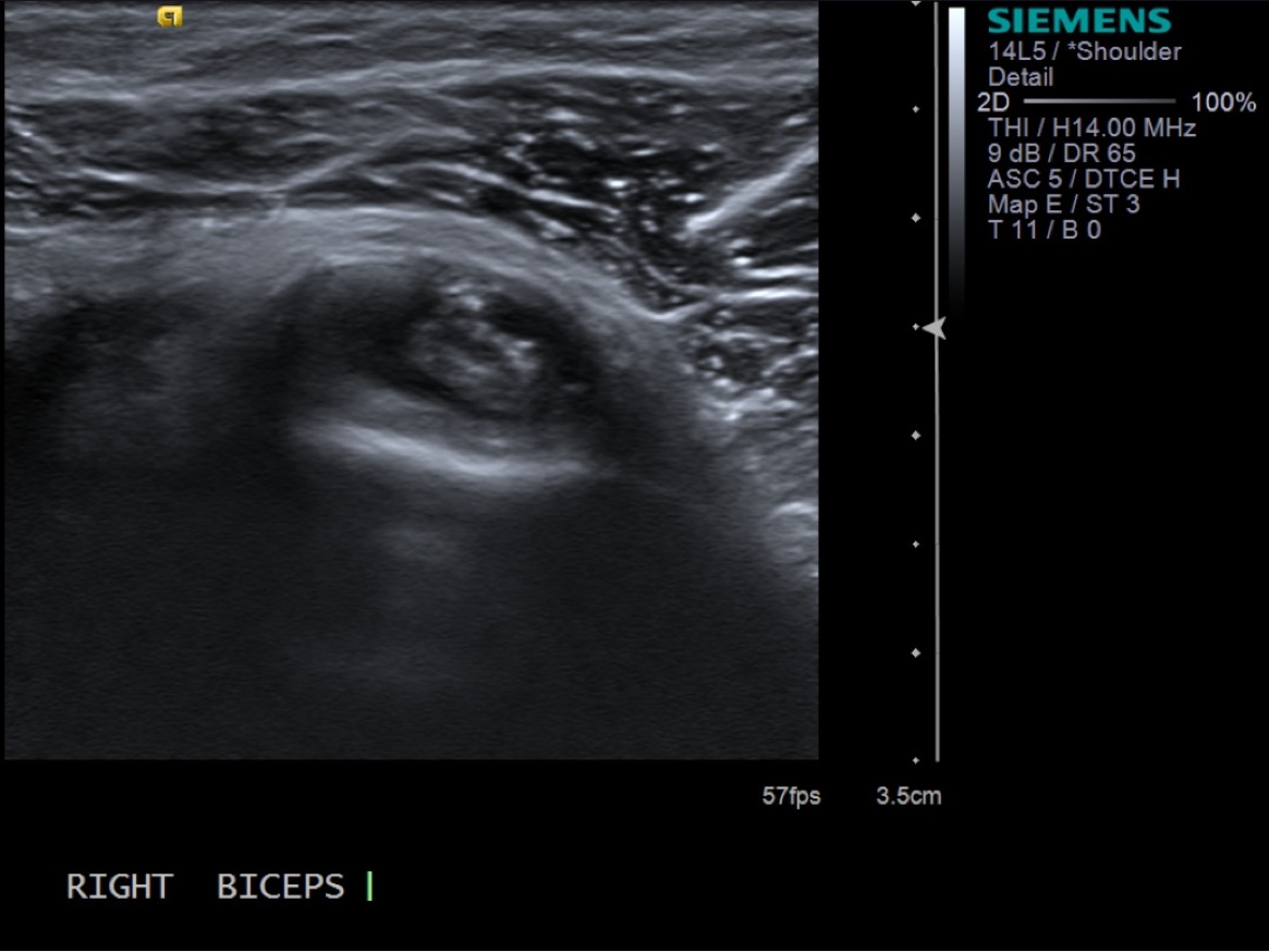
    2.Position patient recumbent with forearm supinated (palm up) with biceps tendon you are working on far side from ultrasound machine.
    3. Scan patient looking at the biceps tendon (short axis/transverse) extra-articular and at the rotator interval. If there is fluid in the biceps tendon sheath when extra-articular, you can inject at that site. Otherwise, will need to inject at the rotator interval.
    • descriptiondescription
    Extra-articular biceps tendon in transverse plane
    • descriptiondescription
    Biceps Tendon in the Rotator Interval
    4. Mark needle site and ideal probe location.  
    5.  Prep patient; betadine or chlorhexidine x 3. Clear wide area.  
    6. Place sterile drape and probe cover.  
    7. Draw up medications as listed in equipment list.  
    8. Place a wheal underneath the skin using a 25g needle with the 1% lidocaine at the site marked for the needle. With ultrasound guidance place the 1% lidocaine deeper within the subcutaneous tissues.
    9. Once numb, leave 25 gauge needle in soft tissues, disconnect syringe for greater control.
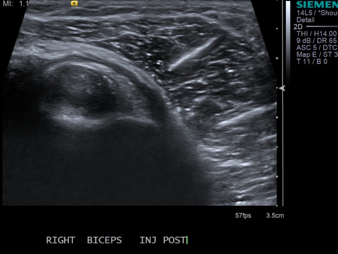
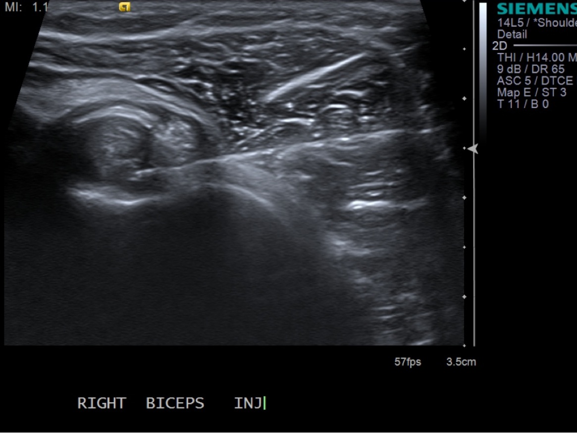
    10. With ultrasound guidance, advance the 25g needle into the sheath surrounding the tendon.
    • descriptiondescription
    11. Test inject to see if easy flow with 1% lidocaine. If no resistance and see distention of the tendon sheath, exchange for 3cc syringe with injectable steroid and ropivacaine.
    • descriptiondescription
    • descriptiondescription
    12. Scan sheath to demonstrate distention.
    • descriptiondescription
    • descriptiondescription
    13.Pull needle out, wash skin with alcohol and place bandage on skin.
    14.Document pain level and give patient pain log.
     

     


    References

    1. Placeholder
    2. Placeholder