MSK Ultrasound Procedures


First Extensor Tendon Sheath Injection (de Quervains)



Equipment and Medications

  • probe: 14Mhz hockey stick probe
  • 25g 1.5” needle
  • 3cc syringe with 1cc 0.5% ropivacaine and 1cc injectable steroid (kenalog 40mg/cc)
  • 5cc syringe with 5cc of 1% Lidocaine
  • Procedure tray
  • Equipment

    Medications



    Procedure Instructions:


    Instructions
    1. Standard pre procedure workup (consent, indications, contraindications, allergies). Assess pain level.
    2. Position patient sitting with wrist supported by towel.
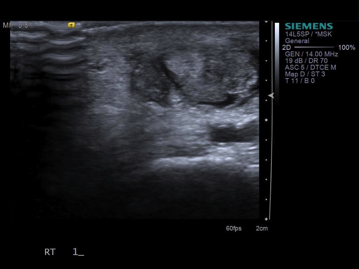
    3. Place probe in short axis over first comparment extensor tendons-- Extensor pollicis brevis and abductor pollicis longus. description description
    • descriptiondescription
    • descriptiondescription
    4. Clean x 3 with betadine or chlorhexidine.  
    5. Sterile drape and sterile probe cover.  
    6. Inject 1% lidocaine superficially with 25g 1.5” needle. Advance needle deeper surface of the 1st extensor tendon sheath. Oftentimes, the APL and EPB tendons are in separate sheaths and may require separate injections. Then, unscrew syringe from needle for greater needle control.
    • descriptiondescription
    7. Under ultrasound guidance,advance needle into the 1st extensor tendon sheath. In this case the APL and EPB have separate sheaths and require their own injections. Test inject with 1% lidocaine. If no resistance, switch 1% lidocaine for injectable steroid mixture. If there is resistance, reposition needle and test inject again. Inject 1 cc of injectable steroid/anesthetic mixture.
    • descriptiondescription
    • descriptiondescription
    8. Pull needle out and follow standard post-procedure protocol with cleaning off the skin and placing a bandage.
    9. Assess pain level.

     


    References

    1. Placeholder
    2. Placeholder