MSK Ultrasound Procedures


Hip Therapeutic Injection



Equipment and Medications

  • probe: 6Mhz curved probe
  • 25g 1.5” needle
  • 22g 3.5” or 5” spinal needle depending on patient body habitus
  • 5cc syringe with 2cc injectable steroid + 3cc ropivacaine 0.5%
  • 10cc syringe with 1% lidocaine
  • Procedure tray

  • Equipment

    Medications



    Procedure Instructions:


    Instructions
    1.Standard pre procedure workup (consent, indications, contraindications, allergies). Ask level of pain on scale of 1-10.  
    2. Position patient laying supine on table. Picture of probe on patient supine
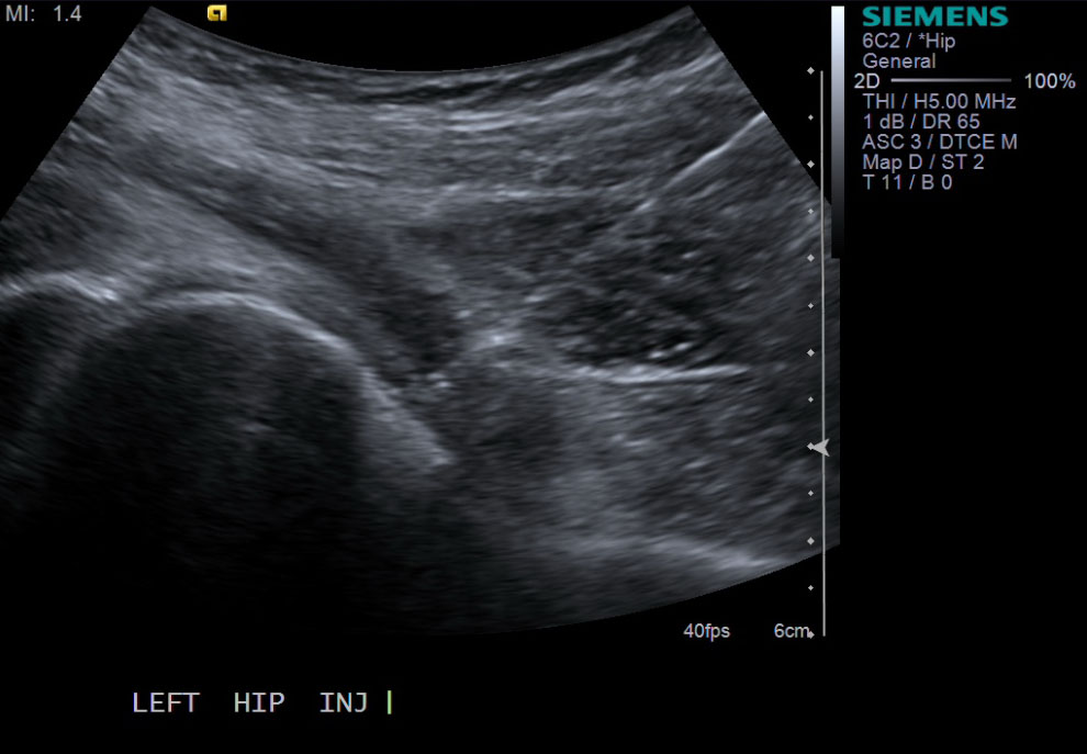
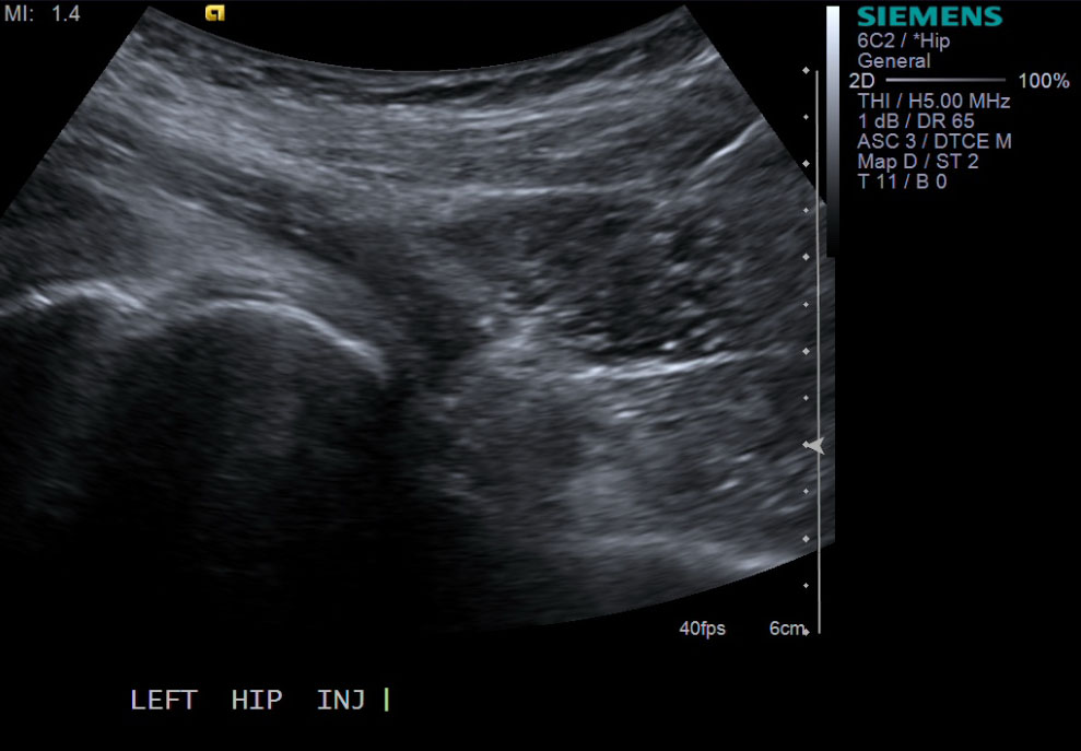
    3. Scan longitudinally along the axis of the femoral neck. Target the femoral head and neck junction and look for the overlying joint capsule. Scan plane should be lateral to the femoral vessels.
    • descriptiondescription
    4. Mark needle site and ideal probe location.  
    5.  Prep patient; betadine or chlorhexidine x 3. Clear wide area.  
    6. Place sterile drape and probe cover.  
    7. Draw up medications as listed in equipment list.  
    8. Place a wheal underneath the skin using a 25g needle with the 1% lidocaine at the site marked for the needle. With ultrasound guidance place the 1% lidocaine deeper within the subcutaneous tissues.  
    9. Exchange 25g needle for 22g spinal needle.
    10.Advance needle with ultrasound guidance to the level of the femoral head and neck junction.
  • 11. Test inject to see if easy flow with 1% lidocaine. If no resistance and see distention of the joint capsule, exchange for 5cc syringe with injectable steroid and ropivacaine.
    • descriptiondescription
      • descriptiondescription
    12. Pull needle out, wash skin with alcohol and place bandage on skin.
    13. Scan joint to demonstrate distention. Can try to flex hip to see if fluid distended.
    <
    14. Ask level of pain on scale of 1-10 to see if improved.
     

     


    References

    1. Placeholder
    2. Placeholder