| Instructions |
|
| 1. Standard pre procedure workup (consent, indications, contraindications, allergies). Assess pain level. |
|
| 2. Position patient sitting with arm slightly flexed and thumb up. |
 Picture of probe overlying the radiocapitellar joint. |
| 3. Place probe perpendicular to the joint and mark probe location and probable injection site |
|
| 4. Clean x 3 with betadine or chlorhexidine. |
|
| 5. Sterile drape and sterile probe cover. |
|
| 6. Inject 1% lidocaine superficially with 25g 1.5” needle. Advance needle to the radial head underneath the joint capsule. Then, unscrew syringe from needle for greater needle control. |
|
| 7. Under ultrasound guidance, advance needle into the radiocapitellar joint space. Test inject with 1% lidocaine. If no resistance, switch 1% lidocaine for injectable steroid mixture. If there is resistance, reposition needle and test inject again. Inject 2 cc of injectable steroid/anesthetic mixture. |
|
8. Pull needle out and follow standard post-procedure protocol with cleaning off the skin and placing a bandage. |
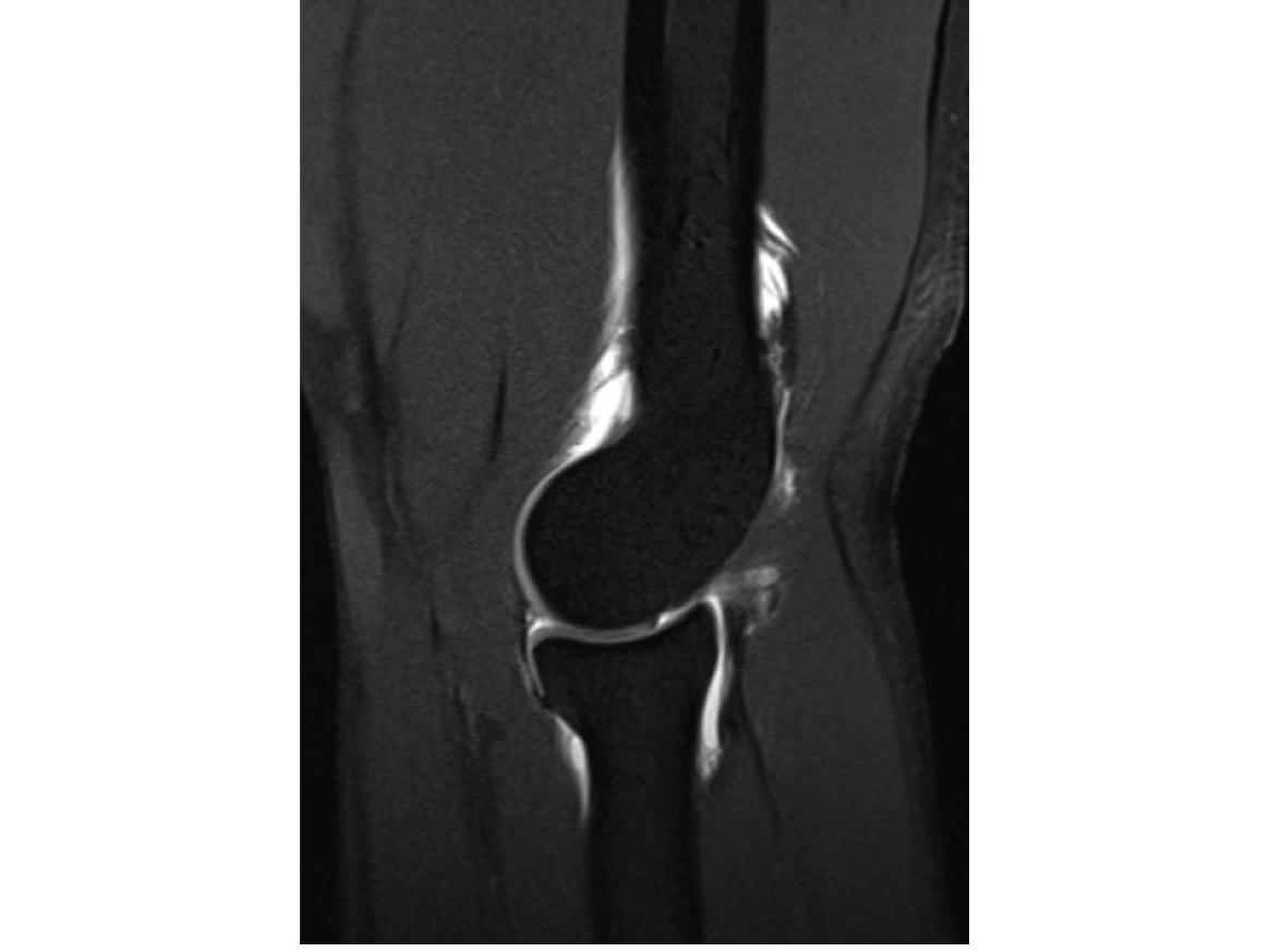
Post procedure images demonstrating distention of the joint in the posterior recess.
Sagittal T1 Fat Saturated image demonstrating an elbow arthrogram, which was obtained after administration of contrast via ultrasound.
|
| 9. Assess pain level. |
|