MSK Ultrasound Procedures


Morton's Neuroma Injection



Equipment and Medications

  • probe: 9Mhz linear probe
  • 25g 1.5” needle
  • 3cc syringe with 1cc 0.5% ropivacaine and 1cc injectable steroid (kenalog 40mg/cc)
  • Procedure tray
  • Equipment

    Medications



    Procedure Instructions:


    Instructions
    1.Standard pre procedure workup (consent, indications, contraindications, allergies).
    • descriptiondescription
    2. Position patient laying supine on table with feet at end of table. Place towel underneath foot of interest. Picture of probe on plantar aspect of foot
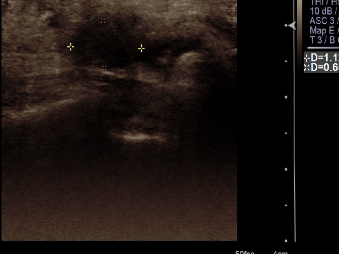
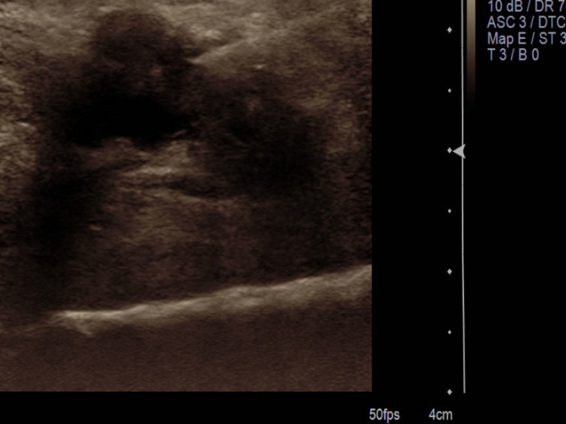
    3. Pre-procedure scanning looking from either plantar or dorsal looking for Morton’s neuroma in the webspaces. Place probe in long axis along the distal metatarsals. If well visualized from the dorsal aspect, prefer to place ultrasound probe in that position. Sometimes, it is preferred to have the patient dorsiflex and have the probe plantar, particularly when the patient has subluxations of the MTP joints.
    • descriptiondescription
    4.  Prep patient; betadine or chlorhexidine x 3. Clear wide area; and clean diligently between the toes.  
    5. Place sterile drape over forefoot and probe cover.  
    6. Draw up medications as listed in equipment list.  
    7. Place 25g needle between the toes directly into the webspace (worst part of the procedure; can use
    • ethyl chloride description
    • spray prior to injection if patient sensitive). Inject 2-3cc 1% lidocaine, then disconnect syringe from needle.
     
    8. Once numb, under ultrasound guidance, advance needle into the neuroma.
    • descriptiondescription
    9.Test inject with 1% lidocaine. If flow easily exchange for 3cc syringe with injectable steroid (kenalog 40mg/cc) and ropivacaine. Inject approximately 3/4cc into neuroma.
    10. Pull needle out and follow standard post-procedure protocol with cleaning off the skin and placing a bandage.

     


    References

    1. Placeholder
    2. Placeholder